囊胚移植是試管嬰兒胚胎移植的一種,能提高試管嬰兒胚胎著床率,同時降低多胎妊娠的可能性。很多不清楚試管嬰兒囊胚移植和普遍胚胎移植有什么區別?

試管嬰兒囊胚移植技術就是模仿自然懷孕的規律,在胚胎發育成囊胚狀態時,將囊胚胎移植到母體子宮內,這樣可以加大試管嬰兒的成功率,減少并發癥。試管嬰兒囊胚移植的成功率明顯比普通移植高20%左右。在國內的大部分生殖中心,普遍采用普通胚胎移植方式,也就是移植發育到8細胞的胚胎。

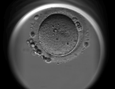
卵子在受精后會快速分裂增殖,而到了第四天,胚胎還會發生重要的代謝轉換。而在第五天胚胎會發育到囊胚階段,此時稱之為囊胚期,胚胎已經形成了滋養外胚層、內細胞團以及囊胚腔,此時胚胎已經包含了七十五至一百個細胞。而滋養外層將會形成臍帶、胎盤和胎膜,而內細胞團則會發育成胎兒。

囊胚技術能夠更直觀可靠的鑒別胚胎的優劣,這個過程能夠淘汰劣質、甚至有缺陷的胚胎。而根據目前的來看,培養五天的囊胚發育成胎兒的成功率是培養三天的胚胎的兩倍。
囊胚移植有什么優點?
1、使胚胎移植具有選擇性。經過比鮮胚更長的體外培養時間,能夠進一步的淘汰有缺陷、無發育潛能的胚胎,達到優勝劣汰的目的。

2、更符合生理著床時間。因為囊胚需要比鮮胚培育更長時間,所以能夠與子宮內膜得到同步,這樣能夠提高臨床妊娠率和胚胎種植率。而在擁有優質囊胚的情況下,可以只進行單囊胚移植,降低多胎妊娠率。
3、保證植入的成功率。因為囊胚經過去透明帶,能夠直接附于子宮內膜。
囊胚移植有什么缺點?
囊胚培養要求條件高,由于實驗室培養條件或胚胎自身原因,胚胎可能會停止發育或退化,導致沒有胚胎可移植。
哪些人適合選擇囊胚移植?
1、 胚胎質量較好,但就是找不到原因,且有反復移植失敗的。
2、有些染色體、基因異常的,需要進行胚胎活檢,就需要將胚胎培養到囊胚階段。

3、曾經有過多次宮外孕史的。囊胚移植可以減少宮外孕的發生幾率。
4、由于某些身體原因,要暫緩胚胎移植,但依然希望能夠移植新鮮胚胎的,即可利用培養囊胚的時間進行緩沖。
5、對不適合多胎妊娠的,建議囊胚培養,并行單囊胚移植。